Healthcare
"Open-source Radiology Apps Are a Joke," Says a Radiologist! I Say They are NOT!
Why Open-Source Radiology Software Deserves a Place in Clinics
DICOM (Digital Imaging and Communications in Medicine): Articles, Reviews, Software, Open source and opinions.
Healthcare
Why Open-Source Radiology Software Deserves a Place in Clinics
radiology
Portable ultrasound machines have revolutionized medical and veterinary diagnostics, becoming game-changers in various fields. Their portability, efficiency, and versatility make them indispensable tools for professionals, enabling on-the-go imaging with precision. Portable ultrasound machines have a wide range of applications across various medical specialties and veterinary fields. In cardiology, they assist
Healthcare
As Artificial Intelligence is making waves in healthcare, AI-powered diagnostics are often touted as the next big thing. But let’s be real — are doctors looking at a helpful assistant or a future replacement? While technology promises efficiency, accuracy, and cost savings, many doctors understandably feel skeptical, even fearful. After
Python
As a doctor and developer, I've spent years navigating the intersection of healthcare and technology. It's clear that AI isn't just a buzzword in healthcare—it’s a tool with real, transformative potential. Over the years ,we covered hundreds of open-source medical and healthcare
Healthcare
Protecting patient privacy is not optional. Whether you're a medical professional, software developer, or a healthcare institution handling patient data, privacy regulations like GDPR and HIPAA aren't just guidelines — they're legal obligations. When dealing with sensitive medical records, data anonymization is one of the
DICOM and Medical Radiology
Setting up a DICOMweb-enabled PACS server can significantly enhance your medical imaging workflow. In this guide, we'll explore the essentials of DICOM, PACS, and DICOMweb, and provide a step-by-step tutorial on installing the dicomweb-pacs server on your system. Understanding the Basics 1- DICOM (Digital Imaging and Communications in
medical imaging
As artificial intelligence continues transforming healthcare, one of the most exciting developments is happening in radiology departments worldwide. The integration of Large Language Models (LLMs) and Retrieval-Augmented Generation (RAG) with traditional medical imaging systems is creating unprecedented opportunities for more accurate diagnoses and improved patient care. In this post, we
Healthcare
Role of DICOM and PACS Service Providers in Healthcare DICOM (Digital Imaging and Communications in Medicine) and PACS (Picture Archiving and Communication System) service providers play a crucial role in modern healthcare by managing the storage, retrieval, and distribution of medical images. DICOM is a global standard that ensures medical
Healthcare
Open-source healthcare solutions promise cost reduction and customization, potentially revolutionizing the industry. However, users of tools like EMR, PACS, Radiology, and LIMS face challenges finding reliable, updated solutions. Many open-source healthcare tools are outdated or abandoned, lacking frequent updates. This situation frustrates users seeking well-maintained options, hindering the full realization
DICOM and Medical Radiology
Artificial intelligence (AI) is revolutionizing industries around the world, and one of the fields most dramatically impacted by this technology is healthcare, particularly radiology and medical imaging. AI's ability to process large amounts of data and identify patterns is enhancing the accuracy, speed, and efficiency of diagnostic imaging,
medicine
In today's rapidly evolving healthcare landscape, the integration of technology and data has become essential. What is OpenMedLab? OpenMedLab is an open-source platform that streamlines medical research, data processing, and healthcare applications. Designed with flexibility and scalability in mind, OpenMedLab is ideal for researchers, developers, and healthcare providers
Healthcare
For years, the field of open-source medical software has seen limited innovation, with many projects becoming stagnant or receiving only minimal updates. Despite the increasing demand from users and countries, especially in low-resource environments and developing countries, to leverage open-source solutions, there has been a noticeable gap in the development
DICOM and Medical Radiology
In 2024, the availability of open-source PACS (Picture Archiving and Communication Systems) is transforming how hospitals and healthcare providers manage medical imaging. This post explores 10 of the best open-source PACS systems that are compatible with Windows, Linux, and macOS, offering a comprehensive look at solutions that can enhance the
DICOM and Medical Radiology
Blue Light is a browser-based medical image viewer is primarily maintained by the Imaging Informatics Labs. It is a pure single-page application (SPA), lightweight, and using only JavaScript and HTML5 technologies so as to deploy it on any HTTP server easily (just put it in HTTP server). It supports not
DICOM and Medical Radiology
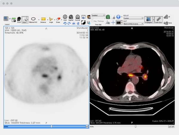
Explore Advanced Medical Imaging with Starviewer: The Ultimate Open-Source DICOM Viewer
DICOM and Medical Radiology
MITO (Medical Imaging TOolkit) is an open-source software architecture designed for advanced medical imaging on Windows platforms. It is DICOM compliant and offers a comprehensive suite of tools for the visualization, segmentation, and fusion of medical images. MITO supports both 2D and 3D visualization, as well as stereoscopic 3D (S3D)
medical imaging
GIMIAS is a workflow-oriented environment for solving advanced biomedical image computing and individualized simulation problems, which is extensible through the development of problem-specific plug-ins. In addition, GIMIAS provides an open source framework for efficient development of research and clinical software prototypes integrating contributions from the Physiome community while allowing business-friendly
DICOM and Medical Radiology
Horos DICOM Viewer: A Comprehensive Free Solution for Medical Imaging
radiology
Radiology software plays a crucial role in medical imaging, providing tools for viewing, analyzing, and managing DICOM files. For professionals seeking free solutions, here’s a list of 10 top radiology software for Windows, each offering unique features. 1. MicroDicom MicroDicom is a popular, free DICOM viewer known for its
DICOM and Medical Radiology
In an era where technological advancements continuously reshape medical practice, ensuring that healthcare facilities are equipped with top-notch medical equipment is crucial for enhancing patient care. The impact of medical equipment on patient outcomes cannot be overstated. Accurate and reliable diagnostic tools are essential for identifying diseases and conditions accurately
DICOM and Medical Radiology
What is Niffler? Niffler is a free open-source lightweight framework to facilitate executing machine learning pipelines and processing workflows on DICOM images and metadata. Niffler facilitates efficient transfer of DICOM images on-demand and real-time from PACS to the research environments. Niffler is also integrated with the radiology information system (RIS)
Healthcare
While open-source solutions have been rapidly emerging in nearly every sector, the healthcare industry seems to be lagging behind in adopting and developing open-source software. This slow progression is not only confined to new applications and solutions, but also extends to older ones, which often suffer from a lack of
radiology
With rising expenses and constant budget constraints in the healthcare sector, cost efficiency is becoming a top priority, and finding affordable yet effective solutions is more vital than ever. One such solution lies in the use of monochrome LCD screens. These screens reduce costs but maintain the high quality necessary
DICOM and Medical Radiology
What is a portable DICOM viewer? A portable DICOM viewer, is an app that you can run it directly to view DICOM files without installation. It is a useful feature if you want to run, view and display DICOM images and media with portable media as USB-drive, DVD, or CD