10 Free Portable DICOM Viewers To Display DICOM Images Directly from CD/ DVD and USB-Drive
Table of Content
What is a portable DICOM viewer?
A portable DICOM viewer, is an app that you can run it directly to view DICOM files without installation.
It is a useful feature if you want to run, view and display DICOM images and media with portable media as USB-drive, DVD, or CD ROM.
Benefits of using Portable DICOM Viewer
A portable DICOM viewer offers several benefits:
- No installation required: You can use the application immediately without having to go through an installation process.
- Mobility: You can use it across different computers as it can be run from portable storage media like a USB-drive, DVD, or CD ROM, making it highly convenient for users who work on different systems.
- Fast access to DICOM images: It allows for quick viewing and displaying of DICOM images whenever needed without the dependency on a specific device.
- Space-saving: Since it doesn't need to be installed, it saves storage space on the hard drive.
However, if you are looking for a normal DICOM viewer for your platform we got you covered with the following lists:
- 25 Free & open source DICOM Viewers for Windows.
- Top 20 FREE cross-platform DICOM Viewers for doctors: Windows, Linux and Mac OS X.
- Top 12 Free Open source DICOM Viewers and PACS Workstations for macOS (Mac OS X)
However, in this post, we offer you the best free and open-source portable DICOM viewer.
Portable DICOM Viewers
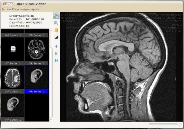
1- Open DICOM Viewer

The Open DICOM Viewer is a Java-based cross-platform DICOM viewer that can be used to display DICOM images directly in a web-page or using a CD or DVD.

It is released as an open-source project under the GNU Library or Lesser General Public License version 3.0 (LGPLv3).
However, it is important to note that the app did not receive update for several years, but it is getting active downloads.

2- JiveX DICOM Viewer

JiveX DICOM Viewer is a free software program for viewing and analyzing medical images in the DICOM format. This format is the standard for transmitting, storing, retrieving, and sharing medical images.
Healthcare professionals, including radiologists and physicians, commonly use it to aid in diagnosing and treating patients.
One of its key features is that it can run directly (fully functional)4 from a USB-drive CD or a DVD without the need to install it.

3. Sante DICOM Viewer
Sante DICOM Viewer is a professional-grade medical image viewer specifically designed to cater to the needs of healthcare professionals. The primary function of this software is to allow for the viewing, analyzing, and interpreting of images in the DICOM format.
This advanced tool is equipped with a comprehensive set of features that are meticulously designed to aid healthcare professionals in their day-to-day work.
These features not only facilitate image viewing but also allow for the manipulation and analysis of these images. The aim is to enhance the user's ability to accurately interpret the information presented in the images, thereby improving the efficiency and effectiveness of medical diagnoses and treatments.

4. Portable Offline HTML5 DICOM Viewer
Web browsers block DICOM files from being loaded directly for security reasons and require the Wado protocol. A solution is proposed using a local HTTP server that serves DICOM files using the CornerstoneWaDoImageLoader library.
This app is offline and portable, doesn't require an internet connection, and is bundled with Chromium. It includes its own small web server, currently available for Windows only, with a Mac version forthcoming.
This is a robust HTML5/ JavaScript DICOM viewer that effortlessly runs in any web browser, eliminating the need for installation on a web-server. It's compatible with modern web browsers, including Google Chrome, Mozilla Firefox, Opera, and similar web-based browsers.
5. Weasis

Weasis is a technologically advanced, standalone, and web-based software specifically designed for visualizing and interpreting images obtained from various medical imaging devices.
This program plays a critical role in the healthcare sector, offering valuable services to a range of entities. It's a free to use DICOM viewer, a factor that makes it accessible to a wide array of users. In the healthcare industry, it's extensively used by hospitals, forming an integral part of their medical imaging process.
Health networks also utilize Weasis, leveraging its capabilities to improve patient care. Additionally, it's used in multicenter research trials, where it assists researchers in their studies by providing them with clear and accurate imaging data. Patients, too, can use Weasis to view their own medical images, empowering them to better understand their health conditions.
This tool comes highly recommended for professionals in various fields, as it boasts an extensive range of features that are not only useful, but also designed to streamline and enhance work processes.
Some of these features include volume rendering, which provides a more comprehensive and detailed view of data; data export, which allows you to conveniently share your work with others; and data import, which enables you to seamlessly incorporate external data into your projects.
Additionally, the tool offers multi-format support, which means that it can handle a wide variety of data types, making it highly versatile and adaptable. Plus, there are many more features that come with this tool, all designed to facilitate and improve your work experience.
Primary Features:
- Open source DICOM viewer under EPL 2 or Apache 2 license
- Flexible integration with PACS, VNA, RIS, HIS or PHR.
- Desktop distributions (Windows, macOS, and Linux)
- Web access through weasis protocol
- Responsive user interface working well on high DPI screens
- Multi-language support
- Configuration of preferences on server-side and client-side
- API for building custom plug-ins
- DICOM Send (storeSCU and STOW-RS)
- DICOM Query/Retrieve (C-GET, C-MOVE and WADO-URI) and DICOMWeb (QUERY and RETRIEVE)
- Dicomizer module to convert standard images into DICOM files
- Embedded DICOM viewer in CD/DVD or other portable media
6. Dicom Image Reader

The Dicom Image Reader is a comprehensive, open-source medical image viewer, meticulously constructed using JavaScript, HTML5, NodeJS, and the Electron framework. Its primary functionality is to load medical imaging data in the DICOM format, which is specifically designed for handling, storing, printing, and transmitting information in medical imaging. This includes the ability to handle single image DICOM (.dcm) files.
The viewer comes equipped with a standard array of tools for manipulating the loaded images, putting a wealth of control in the hands of the user. These tools include the ability to adjust the image's contrast and zoom levels, providing for a detailed examination of the image. In addition, users can also drag the image around for more comfortable viewing.
Moreover, the Dicom Image Reader offers the possibility to draw regions directly on top of the image. This feature can be invaluable for marking out areas of interest or highlighting particular aspects of the image for future reference or discussion.

To further enhance the usability of the viewer, it also includes imaging filters. These filters, such as threshold and sharpening, can be applied to the image to enhance certain details or to help in identifying specific features.
The Dicom Image Reader is built on the robust foundation of the DWV (DICOM Web Viewer) JavaScript open-source library. This library is a highly flexible, modular, and customizable solution that has been designed specifically for medical imaging applications, providing a solid base for the Dicom Image Reader.
It is released as an open-source app under the GNU General Public License version 3.0 (GPLv3).
Features
- Single file reader: only from your file system of your PC
- Displacement and zoom of image
- Possibility to use different filters for brightness, contrast, negative mode and other powerful features
- Length measurements: You can draw lines, rectangles, circles and side dishes by fingers or with your mouse
- Export dcm image as png and PDF formats
- You can use classic print or Cloud Print saving your file on Google Drive as png format
- Tags reader with advanced filters
- Save tags of image as html format
- You can write notes about dcm file and save it in various formats
- Undo and redo buttons
- Supporting touch screen
Additional Requirements:
- Processor: Intel Pentium 4 processor or later that's SSE2 capable
- RAM: 512 MB
- Hard Disk: 1500 MB
- Video Card: nVidia, ATI and Intel Shader Model 2 and Shader Model 3 video cards with 512 megabytes of RAM minimum.
- Supported OS: Windows 10, Windows 8, Windows 8.1, Windows 7
7. DWV

DWV (DICOM Web Viewer) is a highly versatile, open-source, zero-footprint medical image viewer app & library. Its unique feature is that it exclusively uses javascript and HTML5 technologies. This exclusive reliance on universally supported technologies means that it can be efficiently run on any platform that has a modern browser. This includes a wide range of devices - from laptops and tablets to mobile phones, and even extends to modern TVs.
The DWV is designed to load both local and remote data in DICOM format, the universally recognized standard for medical imaging data. This includes a wide variety of medical imaging data types, such as MR, CT, Echo, Mammo, NM, and more.
Beyond simply loading data, DWV provides an impressive array of tools for manipulating the loaded images. These include standard functions such as contrast adjustment, zooming, and dragging. There is also the possibility to draw regions directly on top of the image, providing a valuable tool for detailed analysis.
In addition to these tools, DWV also offers imaging filters. These can greatly enhance the usability of the loaded images. For example, the threshold and sharpening filters can make it easier to identify and examine specific areas of interest within the image.
It also supports non DICOM image formats as PNG, JPEG, and GIF.
8- DicomReader

DicomReader is a Java-based tool developed for Volumetric Bias Correction that reads DICOM files, handling both headers and images. It saves data into plain text files and optionally provides a pgm image version.
It requires a Dicom dictionary to function properly and can handle multi-sliced Dicom files, appending a sequence number to the original file name for each slice.
9. BlueLight

Blue Light, a robust, browser-based medical image viewer, harnesses the power of JavaScript and HTML5. Its effortless deployment on any HTTP server is a game-changer.
It not only supports local data viewing but also seamlessly connects to medical image archives adhering to the DICOMweb standard. This feature unlocks access to an immense range of remotely stored medical imaging data, proving its prowess.

10. Aliza MS

Aliza MS stands as a remarkable, free, and open-source DICOM viewer that has shown to be of immense value to those working in the healthcare industry, with a particular emphasis on radiologists. This intuitive software is packed to the brim with dozens of ingenious features, each one designed with the purpose of streamlining the process of viewing and analyzing medical imaging data.
This software provides radiologists with advanced viewing tools and options, giving them the power they need to interpret and understand medical imaging data in more depth and detail. This enhanced understanding can help in diagnosing patients more accurately and efficiently.
But Aliza MS is more than just a DICOM viewer. It represents a significant contribution to the open-source medical imaging community, offering a comprehensive and holistic solution that caters to the diverse needs of healthcare professionals across the globe. It's not just a tool, but a revolution in how we view and interpret medical imaging data.
In terms of features, Aliza MS is not lacking. It offers both 2D and 3D views with a wide array of tools to assist in the viewing process. Even non-uniform images can be viewed in 3D, enabling a more detailed analysis of the imaging data.
Additionally, Aliza MS offers Volume Rendering and Multi-planar reconstruction (MPR), both of which can provide a more comprehensive understanding of the imaging data.
The software also features a fast directory scanner and DICOMDIR, making it easy to manage and navigate through your files. But what really sets Aliza MS apart is its ability to consistently de-identify DICOM while maintaining the integrity of the data. This ensures that patient privacy is respected while still preserving the quality and accuracy of the imaging data.



